Sconfiggere le infezioni resistenti
grazie alla terapia fagica
Ascolta le testimonianze dei nostri pazienti che sono stati trattati con la terapia fagica.
Ottieni Informazioni Gratuite sulla Terapia Fagica!
Grazie alle nostre connessioni in Georgia, possiamo aiutarti a trovare i migliori medici.
Organizziamo il tuo soggiorno con un appuntamento, un interprete medico, un alloggio e rendiamo il tuo trattamento la nostra priorità.
Ho vissuto in Georgia per circa 10 anni. Ho assistito molte persone nel contattare medici georgiani e nell'organizzare il loro soggiorno per ricevere terapia fagica. Spero di poter essere d'aiuto a chiunque ne abbia bisogno. Fornisco tutte le informazioni possibili gratuitamente.
TERAPIA FAGICA: UNA MEDICINA NATURALE
COMPETENZA SENZA PARI DEI MEDICI GEORGIANI.
Batteri e condizioni trattate
Come arrivare lì?
Testimonianze
Organizzazione e Servizio
Vale la pena notare che l’organizzazione è stata notevole sia in termini di logistica che di supporto umano: -Gestione delle disposizioni di viaggio e alloggio. -La presenza di una straordinaria interprete in loco: Tamouna, supportata dall’efficiente Zviad. -Gli appuntamenti sono stati gestiti completamente e con grande affidabilità. Scritto il 6 gennaio 2019 dalla Sig.ra F.D.
Ho salvato la mia gamba.
La terapia fagica ha salvato il mio braccio.
Infezione ossea e articolare da Staphylococcus aureus.
Lire plus “Infezione ossea e articolare da Staphylococcus aureus.”
Infezione urinaria da Klebsiella
Grazie, terapia fagica Georgia!
Il viaggio è stato organizzato in modo eccellente, senza errori. Grazie a voi, sono riuscito a organizzare questo viaggio, che altrimenti non avrei saputo come pianificare in un paese così diverso!
Guarito da un’infezione alle vie urinarie.
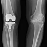
Guarito da un’infezione da stafilococco su una protesi al ginocchio grazie alla terapia fagica.
Quando ho rivisto il mio chirurgo due mesi fa per dirgli che per il momento non volevo essere operato di nuovo, mi ha confermato, basandosi sulle mie buone analisi e radiografie, che non era necessario; ci saremmo rivisti tra 6 mesi. Ma non mi ha fatto domande sui fagi… Mi è servito non aver dato loro ascolto e aver intrapreso la suddetta terapia fagica. Grazie, Georgia! Grazie, fagi! Grazie, assistenza medica in Georgia : sesoignerengeorgie.com!Thierry De Passemar

Fibrosi cistica trattata con terapia fagica
Gérard PAUL
In January 2020, I went to Tbilisi, Georgia, for a week to visit Caucasus Healing and contacted Alain Lavit and his team. In this globally renowned treatment center, I met with a doctor who prescribed me a few small vials of phages. The effect of the treatment was astonishing, as I experienced healing in less than a week by ingesting these small vials of “water” that had no particular taste but were incredibly effective. This was followed by a daily treatment of one vial for about two months. It has been two and a half years since I underwent phage therapy, and I am doing well without the need for antibiotics.
I am immensely grateful to Georgia and its healthcare teams for providing such exceptional care through phage therapy.
Thank you very much to Georgia for phage therapy!
Gérard PAUL
Eric – autistico
Françoise GAUTIER
The organization by the agency “Healing in Georgia” is perfect, and we have no hesitation in recommending their services.
My mobile number in case anyone wants more information: +33(0)6 07 73 63 73
Françoise GAUTIER

